Szpik Kostny Histologia
Kosc Portal Fizjoterapeuty
Ludzki Oblongata Szpik Kostny Myelencephalon Lekki Ludzki Micrograph Oblongata Albo Szpik Kostny Canstock
Szpik Kostny Rozw J Krwi Pdf Darmowe Pobieranie
Histologia Praktyka Flashcards Chegg Com
1
Szpik Kostny Wikipedia Wolna Encyklopedia
Szpik Kostny Fototapety Scienne Na Wymiar Redro Pl
Histologia Tkanka Kostna I Chrzestna 11 Preparatow Mikroskopowych Conatex Pomoce Naukowe
Histologia Ssakow
Histologia Czlowieka 100 Preparatow Conatex Pomoce Naukowe
Szpik Kostny Notatek Pl
Prawidlowa Histologia Czlowieka 3b Duzy Zestaw Pomoce Szkolne
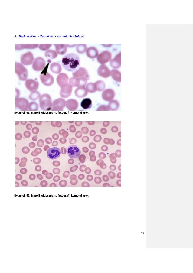
Nedoszytko Boguslaw Zeszyt Do Cwiczen Z Histologii
Szpik Kostny Fototapety Scienne Na Wymiar Redro Pl
Histologia Jacek Malejczyk Wojciech Sawicki Ksiazka Ksiegarnia Medyczna Pzwl
Gerontologia Org Pl Wp Content Uploads 16 07 15 4 Gerontologia 5 Pdf
Histologia Sawicki Wyd 12 Promocja Kurier 0zl Oficjalne Archiwum Allegro
Histologia Czlowieka Duzy Zestaw 50 Preparatow Cz I
Histologia Zagadnienia Opis Tkanek Studocu
Histologia Szczegolowa Skrypt Pobierz Pdf Z Docer Pl
Histologia Wyklad 04 Bio Aihz Sp2 Studocu
Szpik Kostny Rodzaje
Www Studocu Com Pl Document Uniwersytet Przyrodniczy We Wroclawiu Biologia Komorki I Histologia Ii Notatki Z Wykladu Histologia Zagadnienia Opis Tkanek View
Tkanka Krwiotworcza Charakterystyka Histologia Rodzaje Funkcje 21
Kosci Wszedzie Kosci Patolodzy Na Klatce
Repetytorium
Histologia Wstep Brain Wiki
Komorek Macierzystych Szpiku Kostnego Zdjecia Stockowe I Wiecej Obrazow 15 Istock
Szpik Kostny I Odnowa Komorek Krwi Notatek Pl
Histologia Flashcards Quizlet
Histologia 10 Histology Of Circulatory System Studocu
Histologia Czlowieka Kompletny Zestaw 100 Preparatow W Wiekszosci Barwione Hematoksylina I Eozyna Zmieniony 17r
Nedoszytko Boguslaw Zeszyt Do Cwiczen Z Histologii
Szpik Kostny Fototapety Scienne Na Wymiar Redro Pl
Histologia Czlowieka Kompletny Zestaw 103 Preparatow W Wiekszosci Barwione Hematoksylina I Eozyna
Histologia Ssakow Cz Ii 3b Zestaw Preparatow Pomoce Szkolne
Histologia Czlowieka 100 Preparatow Conatex Pomoce Naukowe
Szpik Kostny Zdjecie I Opis Preparatu
Histologia I Biologia Komorki
Pl Static Z Dn Net Files De2 5d9efe36e48bdc53b0f1cc50 Pdf
Szpik Kostny Fototapety Scienne Na Wymiar Redro Pl
Edraurban Pl Ssl Book Sample File Histologia Junqueira Podrecznik I Atlas Pdf Histologia Junqueira Pdf
Podstawy Anatomii I Fizjologii Wysilku
Histologia Preparaty Flashcards Quizlet
Szpik Kostny
Istota Gabczasta Wikipedia Wolna Encyklopedia
Histologia Ssakow Zestaw Uzupelniajacy 50 Preparatow
Krew Szpik Kostny Naczynia I Serce Tkanka Miesniowa Pdf Darmowe Pobieranie
Uklad Limfatyczny Sggw Studocu
2
Histologia Jacek Malejczyk Wojciech Sawicki Ksiazka Ksiegarnia Medyczna Pzwl
Na Czym Polega I Jak Wyglada Badanie Szpiku Kostnego Youtube
Histologia Flashcards Quizlet
Szpik Kostny Zdjecie I Opis Preparatu
Q Tbn And9gcq8ainxoja6uwmgj8pzykzuh3nxeiwiz2ja8njqo7hovlfvzp Usqp Cau
Tkanka Krwiotworcza Charakterystyka Histologia Rodzaje Funkcje 21
Histologia Czlowieka Duzy Zestaw 50 Preparatow Cz I
Kostniakomiesak Wikipedia Wolna Encyklopedia
Histologia 14 11 19 Szpik Kostny Hematopoeza Flashcards Quizlet
Cwiczenia Z Histologii Zwierzat Larix
Histologia Krew 10 Preparatow Mikroskopowych Conatex Pomoce Naukowe
Czerwony Szpik Kostny Krowy Cienki Przekroj
Chloniak Hodgkina Wikipedia Wolna Encyklopedia
2
Histologia Praktyka Flashcards Chegg Com
Szpik Kostny Zdjecie I Opis Preparatu
Krew Szpik Kostny Naczynia I Serce Tkanka Miesniowa Pdf Darmowe Pobieranie
Kosci Wszedzie Kosci Patolodzy Na Klatce
Histologia Wstep Brain Wiki
Histologia Ssakow Powiekszony Zestaw Podstawowy 50 Preparatow
Edraurban Pl Ssl Book Sample File Histologia Junqueira Podrecznik I Atlas Pdf Histologia Junqueira Pdf
Histologia Ludzka Tkanka Obraz Stock Obraz Zlozonej Z Biologia
Ludzki Oblongata Szpik Kostny Myelencephalon Lekki Ludzki Micrograph Oblongata Albo Szpik Kostny Canstock
Histologia Praktyczny Blisko 1 Flashcards Quizlet
Szpik Kostny Fototapety Scienne Na Wymiar Redro Pl
Histologia Fiszki Online Wojciech Sawicki Jacek Malejczyk Ebook Ibuk Pl
Histologia Skrypt Sawickiego Pobierz Pdf Z Docer Pl
Histologia Notatki Z Cwiczen Studocu
Pluco Histologia Film Medtube Pl
Szpik Kostny Wikiwand
Q Tbn And9gcsxnrnvvpxr1gxcbi3rriqjvujbcirse Bnmkf6gfw Usqp Cau
Szpik Kostny Hiperplazja Linii Czerwonokrwinkowych Film Medtube Pl
Q Tbn And9gctkiqeip7d Rmdvc7wtbpxerfwj9wmbr8njxzhsbni3vuacjg92 Usqp Cau
Histologia Vademecum By Artur Nowakowski Issuu
Http Www Dbc Wroc Pl Content
Histologia Praktyczny 35 68 Wieksze Przyblizenie Flashcards Quizlet
Szpik Kostny Notatek Pl
Listy Z Naszego Sadu
Atlas Histologiczny Z Powiazaniami Czynnosciowymi Victor P Eroschenko
Szpik Kostny Fototapety Scienne Na Wymiar Redro Pl
Histologia Tkanka Zwierzeca Szpik Kostny Krew Wezel Chlonny Hematoksylina Bariera Krew Mozg Mezangium Macierz Pozakomorkowa Chrzastka Gruczol Lojowy Artefakt Osteoblast Rod O Wikipedia Amazon Com Au Books
Zabel Histologia Przeszukiwalny By Ds Ocr Pdf
Przeszczep Szpiku Kostnego Przeszczepy Narzadow
Szpik Kostny Zdjecie I Opis Preparatu
Http Nedo Gumed Edu Pl Wszpziu Histologia Histologia metody Pdf
Histologia Tkanka Laczna Biologia Medyczne Materialy
Histologia Tkanka Zwierzeca Szpik Kostny Krew Wezel Chlonny Hematoksylina Bariera Krew Mozg Mezangium Macierz Pozakomorkowa Chrzastka Gruczol Lojowy Artefakt Osteoblast Rod O Wikipedia Amazon Com Au Books
Krew Szpik Kostny Naczynia I Serce Tkanka Miesniowa Pdf Darmowe Pobieranie
Wymaz Szpiku Kostnego Histologia Film Medtube Pl
Preparaty Mikroskopowe Histologia Krew 10 Szt
Http Www Pbkom Eu Sites Default Files Artykulydo12 32 2 375 Pdf
Browsing The Category Archiwa Histologia Strona 7 Z 7
Histologia Czlowieka Duzy Zestaw 50 Preparatow Cz I
Http Www Agroswiat Pl Spisy Hematologia Weterynaryjna Pdf


